記者蕭麗鳳/彰化報導
66歲陳姓男子抽菸30餘年,雖然家人一直勸他戒菸,但始終未能成功。去年年底第一個孫子誕生,他為小嬰兒不要吸二手菸,下定決心戒菸,前往員榮醫院胸腔內科主任林鴻慶醫師戒菸門診。因符合國健署肺癌補助計畫,接受「低劑量電腦斷層(LDCT)」篩檢。沒想意外揪出右下肺部有一處直徑約 1 公分的毛玻璃狀病變,疑似早期肺腺癌。
針對陳姓患者的影像報告,林主任與在員榮醫院駐診的秀傳醫院副院長胸腔外科李佳穎醫師評估後,建議立即手術切除。陳姓患者隨後在員榮醫院接受李佳穎副院長施作「單孔微創胸腔鏡手術」。此術式僅需一個微小切口,具有出血量少、術後疼痛度低等優勢,術後第 3 天即順利出院,病理檢驗證實為初期肺腺癌。讓陳姓患者感慨萬分,直呼除醫護專業照護外,小孫子更是他的「救命恩人」,讓他能在黃金期及早發現病灶。
▲林鴻慶主任指出,肺癌早期症狀往往不明顯,容易被忽視,導致延誤就醫時機。(圖/員榮醫院提供)
林鴻慶主任指出,肺癌早期症狀往往不明顯,初期可能僅出現輕微咳嗽、疲倦或呼吸不適等非特異性表現,容易被忽視,導致延誤就醫時機。臨床統計顯示,超過一半患者確診時已屬中晚期,錯失黃金治療期,不僅治療難度提高,預後與存活率也相對不理想。
林主任表示,國健署近年來積極推廣「肺癌早期偵測計畫」,針對高風險族群提供每兩年一次的免費 LDCT 檢查,免費條件如下: 45至74歲男性或40至74歲女性,有肺癌家族史的民眾; 50-74歲且吸菸史達「20包-年」(例如每天 1 包連續吸 20 年,或每天 2 包連續吸 10 年)仍在吸菸,或戒菸未滿15年的民眾。
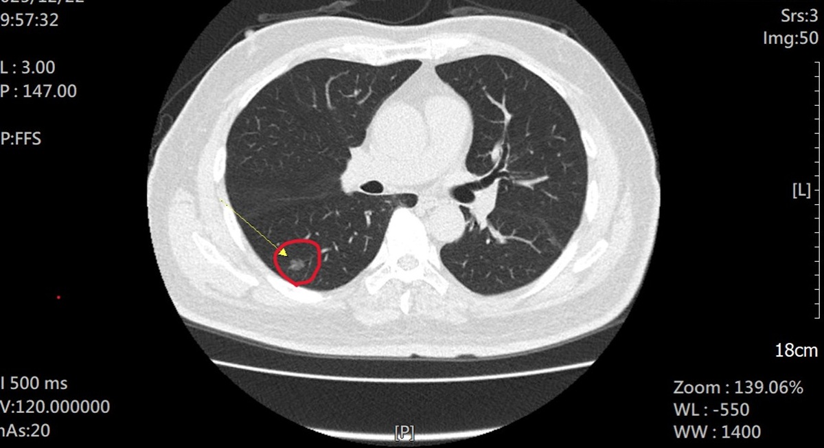
▲林主任強調,LDCT 是目前唯一能有效偵測直徑 1 公分以下細微病灶的工具。(圖/員榮醫院提供)
林主任強調,LDCT 是目前唯一能有效偵測直徑 1 公分以下細微病灶的工具。臨床數據顯示,第一期肺癌的五年存活率高達 90% 以上;反之,一旦延誤至第四期,存活率則驟降至約 15%。早期發現比晚期發現,患者五年存活率差 6 倍。
李佳穎副院長指出,「微創胸腔鏡手術(VATS)」已是肺癌治療的主流技術,相較傳統需切斷肋骨、留下 20 公分傷口的大手術,微創技術不僅傷口美觀、疼痛感極低,且透過高清內視鏡輔助,能更精準地切除病灶,協助病患儘早重返正常生活。
李佳穎副院長與林鴻慶主任都一致呼籲, 面對「新國病」威脅,符合篩檢資格的民眾應善用國家資源,落實「早期篩檢、精準治療」,讓肺癌不再成為無法治癒的威脅。
員榮醫院早在十年前即推動低劑量電腦斷層(LDCT)肺癌篩檢,為彰化地區早期投入肺癌篩檢推動的醫療機構之一,並曾為彰化縣警消人員提供免費篩檢服務,積極實踐醫療社會責任,近年來已篩檢近萬例個案。













