記者蕭麗鳳/彰化報導
彰基醫學中心重大外傷團隊近日成功搶救一名因機車自摔導致多重內臟與骨骼損傷的19歲男性 。此案例再次突顯了區域級創傷中心對於重大事故傷害的即時反應與整合醫療能力的重要性。
該名少年被送至彰基急診時,在短時間內情況便急轉直下,因體內大量出血而陷入休克狀態 。急診團隊發現情況危急,立即啟動院內「重大外傷小組」機制 。包含外傷科、一般外科、骨科、胸腔外科及整形外科在內的各科醫療專家火速到位,展開全面的救治工作 。
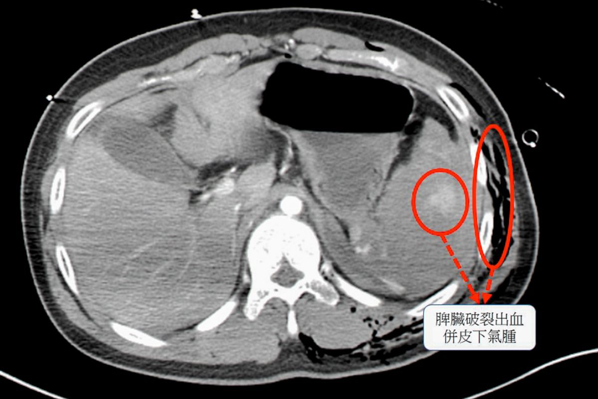
▲經過電腦斷層檢查,確認患者的脾臟已完全碎裂,是體內大出血的主因 ,同時合併胸腔積血、積氣,以及多處骨折與血管撕裂傷 。(圖/彰基提供)
經過電腦斷層檢查,確認患者的脾臟已完全碎裂,是體內大出血的主因 ,同時合併胸腔積血、積氣,以及多處骨折與血管撕裂傷 。面對如此複雜的傷勢,外科團隊首先進行緊急手術,切除破裂的脾臟以控制出血 ,經骨科與整形外科團隊則接力進行骨折固定與血管修補,成功穩定了患者的生命跡象 。
▲19歲男性患者因自摔導致脾臟破裂,接受緊急手術,經多科團隊緊急手術止血與修補。(圖/彰基提供)
患者在術後因嚴重的胸部創傷,引發了急性肺損傷,導致呼吸功能衰竭 ,傳統呼吸器已無法提供足夠的氧氣,在緊要關頭,醫療團隊啟用「葉克膜」(體外維生系統)暫時替代他的心肺功能,為受創的肺部爭取到寶貴的復原時間 。經過加護病房團隊近一個月的悉心照護,患者最終康復出院,重拾寶貴的青春歲月 。
▲彰基醫療長張尚文醫師提醒,嚴重內臟損傷初期症狀常不明顯,呼籲民眾遭遇撞擊事件,應盡速就醫接受完整評估。(圖/彰基提供)
彰基醫療長張尚文醫師指出,許多嚴重的內臟損傷在事故發生初期,症狀可能並不明顯,例如此案的少年一開始也僅是口述胸痛 。張尚文呼籲,發生撞擊事故後,即使自我感覺良好,也應盡速就醫接受完整評估,切勿因一時的疏忽,錯失治療的黃金時機,並在第一時間將重傷患者送至具備完整急救能力的創傷中心,是提升存活率的關鍵。
總院長陳穆寬教授表示,此案例的成功,仰賴一套成熟的重大外傷處置流程與本院各專科間的無縫合作 。他也藉此案例提醒民眾,機車騎士是交通事故中的高風險族群,務必注意行車安全並穿戴適當的防護裝備,這樣才能保護自身安全。













