台中時報 | TaichungTimes
  • 地方
  • 生活
  • 健康
  • 文教
  • 旅遊
  • 消費
  • 社會
  • 藝術
  • 綜合
沒有結果
查看所有結果
  • 地方
  • 生活
  • 健康
  • 文教
  • 旅遊
  • 消費
  • 社會
  • 藝術
  • 綜合
沒有結果
查看所有結果
台中時報 | TaichungTimes
沒有結果
查看所有結果
  • 地方
  • 生活
  • 健康
  • 文教
  • 旅遊
  • 消費
  • 社會
  • 藝術
  • 綜合
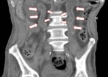
首頁 標籤 記者蕭麗鳳/彰化報導 61歲梁姓男子半年內因為泌尿道感染住院多達6次,日前再度發燒及泌尿道感染,轉院到衛福部彰化醫院就醫,多科會診發現,包括腎臟及輸尿管等泌尿道系統被一層像是水泥、蛋殼的鈣化物覆蓋,被稱為Encrusted

標籤: 記者蕭麗鳳/彰化報導 61歲梁姓男子半年內因為泌尿道感染住院多達6次,日前再度發燒及泌尿道感染,轉院到衛福部彰化醫院就醫,多科會診發現,包括腎臟及輸尿管等泌尿道系統被一層像是水泥、蛋殼的鈣化物覆蓋,被稱為Encrusted

影音/結石不成塊滿覆蓋泌尿道 醫師:多喝水 不要憋尿 適度運動

影音/結石不成塊滿覆蓋泌尿道 醫師:多喝水 不要憋尿 適度運動

2024 年 9 月 19 日

記者蕭麗鳳/彰化報導 61歲梁姓男子半年 ...

最新新聞

中市龍井地所文創迴廊新展 日光盒子師生聯展登場

2024 年 10 月 1 日
巨業交通評鑑報告書誤植 中市交通局:總成績列乙等

巨業交通評鑑報告書誤植 中市交通局:總成績列乙等

2024 年 10 月 1 日
2024提拔泥-樂在泥芭中 相約「雙十國慶 一起玩泥芭」

2024提拔泥-樂在泥芭中 相約「雙十國慶 一起玩泥芭」

2024 年 9 月 30 日
影音/ 慶祝開化寺建寺三百周年 七尊觀音菩薩巡境賜福活動

影音/ 慶祝開化寺建寺三百周年 七尊觀音菩薩巡境賜福活動

2024 年 9 月 30 日
台中動畫影展十週年 世界級巨作十大單元亮點搶先看

台中動畫影展十週年 世界級巨作十大單元亮點搶先看

2024 年 9 月 30 日

最多瀏覽

無可用內容
台中時報 | TaichungTimes

© 2023 台中時報電子報

關於我們

  • 關於我們
  • 使用者條款
  • 隱私權政策
  • 聯絡我們

關注我們

沒有結果
查看所有結果
  • 地方
  • 生活
  • 健康
  • 文教
  • 旅遊
  • 消費
  • 社會
  • 藝術
  • 綜合

© 2023 台中時報電子報